Exfoliative Cell Stain

Intended use:
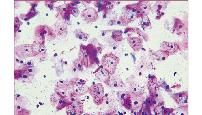
The samples of exfoliative cell have extensive sources, which include cervical smears, endometrial smears, sputum smears, bronchial washing and swab smears, mouth and esophagus smears, gastric juice smears, urine smears, celiac and thorax effusion smears. Traditionally, the standard methods of exfoliative cell stain in clinic are Papanicolaou stain and Hematoxylin-Eosin stain. Theimproved Baso Exfoliative Cell Stain is rapid-to-use and provides clearer results.For disease diagnosis, the BASO staining result is an important reference indicator , as good as Papanicolaou stain.
Principle:
This kit is an improvement of the Romanowsky Stain technique. It includes acid stain (Eosin) and alkaline stain (Methylene blue). For different cells, the affinity to the acid and alkaline stains varies. Thus, different cells will exhibit different colors after staining, rendering its shape and characteristics identifiable.
Specifications:
| Contents | 3Btlsx100ml/kit | Components |
| Solution A | 1x100ml | Eosin, Methanol |
| Solution B | 2x100ml | Methylene blue |
Precaution:
1. To obtain valuable diagnosis, the sample must be kept at natural state, avoiding denaturing. The first step
for good samples is a quick and proper fixation.
2. Smear samples can be fixed by air-dry or fixative. If fixative is used, smears should be dipped for a longer
time to get a better result. The fixative should be filtered and changed as needed to avoid cell
cross-contamination.
3. Dropping bottles for A and B solutions are both provided as empty bottle. Allocate the stain stock Solution A
and B into corresponding empty dropping bottle before staining.
4. Cap the reagent bottle immediately after use to avoid vaporization.
5. Do not use the reagents beyond the stated expiration date. For kit storage, avoid exposure to extreme high
or low temperature and sunlight.

